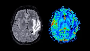
The intricate dance of sleep, a state often perceived solely as a period of passive rest, is...
Revolutionary Gene Therapy Achieves Significant Auditory Restoration in Clinical Trial Participants.
A groundbreaking clinical investigation has unveiled a novel gene therapy approach that has demonstrably restored significant auditory...
The intricate relationship between diet and inflammatory bowel diseases (IBD), particularly Crohn’s disease, has long been a...
A groundbreaking development in cardiovascular medicine has unveiled a promising new therapeutic pathway for individuals grappling with...
The widespread perception of climate change often conjures images of uniform warming across vast territories, yet a...
A recent scientific inquiry, published in the esteemed journal Clinical Gastroenterology and Hepatology, has illuminated a concerning...
A significant advancement in medical diagnostics promises to fundamentally alter how a range of debilitating gastrointestinal disorders,...
A groundbreaking advancement in dental care has emerged from Brazilian research laboratories, presenting a novel artificial saliva...
A recent investigation conducted by researchers at the University of Toronto Scarborough has illuminated a critical factor...
Fried chicken stands as an undisputed icon of American cuisine, a dish celebrated for its crispy exterior,...
A substantial analysis of real-world patient data has illuminated a compelling, previously underappreciated benefit associated with common...
Emerging scientific inquiry from the University of Texas at El Paso is shedding new light on the...
