The enduring enigma of consciousness, the very essence of subjective awareness, has long presented a formidable challenge...
Mental Health
A groundbreaking longitudinal study, meticulously detailed in the journal General Psychiatry, has provided the most compelling evidence...
The capacity for internal reflection, a hallmark of human cognition, is now being harnessed to accelerate the...
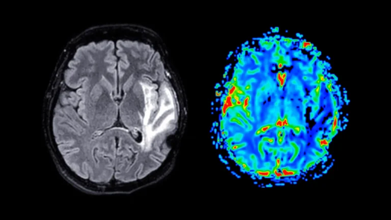
A groundbreaking investigation by scientists at the University of California, Riverside, has profoundly altered our comprehension of...
The human brain functions as an exceptionally sensitive instrument, finely attuned to the body’s internal state. Its...
A comprehensive and updated analysis of existing scientific literature has concluded that, despite widespread interest and ongoing...
A groundbreaking investigation has illuminated distinct methodologies in facial communication of emotions between individuals on the autism...
Researchers at Johns Hopkins Medicine have identified a critical regulatory mechanism within specific brain proteins, potentially paving...
A groundbreaking scientific inquiry, recently detailed in The Journal of Clinical Endocrinology & Metabolism, has illuminated a...
While the inexorable march of time and advancing age remain undeniably prominent determinants in the likelihood of...
A groundbreaking investigation into the mechanics of human recollection is prompting a significant re-evaluation of how scientists...
Groundbreaking scientific inquiry from the University of Victoria (UVic) is illuminating a potential therapeutic avenue that could...
