A groundbreaking investigation, spearheaded by Professor Karim Jerbi from the Université de Montréal’s Department of Psychology and...
Mental Health
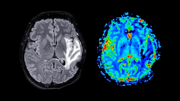
Alzheimer’s disease, a relentless neurodegenerative condition, is widely recognized for its profound impact on cognitive function, most...
The relentless march of artificial intelligence and sophisticated neurotechnologies has propelled the scientific quest to demystify consciousness...
A landmark investigation, disseminated on February 4, 2026, within the esteemed pages of Neurology Open Access, a...
A significant divergence in the health and well-being trajectories of middle-aged Americans compared to their counterparts in...
A groundbreaking scientific inquiry into the intricate mechanisms of memory formation has illuminated a potential neurobiological culprit...
A groundbreaking discovery originating from a collaborative effort involving esteemed Japanese research institutions has unveiled a promising...
The intricate process by which the human brain constructs a consistent and unwavering sense of bodily self,...
A comprehensive longitudinal investigation, drawing upon data from the extensive 1970 British Cohort Study, has illuminated a...
Individuals experiencing paralysis, particularly due to spinal cord injuries, often find themselves disconnected from their own bodies,...
Singapore, a nation celebrated for its remarkable longevity, faces a growing challenge: a significant portion of its...
A comprehensive investigation spearheaded by researchers at the University of Cambridge has illuminated a compelling association between...
