Singapore, a nation celebrated for its impressive longevity rates, is actively exploring innovative avenues to ensure those...
Mental Health
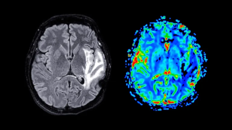
A comprehensive investigation spearheaded by researchers at the University of Cambridge has illuminated significant associations between the...
A peculiar, dry sensation, often described as puckering or even sandpaper-like on the tongue, is a common...
A groundbreaking scientific investigation has illuminated the intricate mechanisms by which psychedelic compounds profoundly alter human consciousness,...
The intricate biochemical pathways within the human brain are fundamental to our cognitive functions, emotional well-being, and...
The period of adolescence represents a pivotal epoch in human development, characterized by profound transformations that extend...
The pervasive experience of diminished cognitive acuity following insufficient rest is a familiar phenomenon for many, characterized...
A groundbreaking investigation spearheaded by psychologists at UNSW Sydney has yielded compelling evidence suggesting that the auditory...
A comprehensive re-evaluation of existing data by researchers at University College London (UCL) has dramatically reshaped our...
A groundbreaking investigation, recently detailed in the esteemed journal JNeurosci, has illuminated the profound and enduring consequences...
Parkinson’s disease represents a relentless neurodegenerative affliction, characterized by its progressive and debilitating nature, impacting the lives...
A groundbreaking investigation has illuminated an unexpected biological mechanism capable of initiating repair processes within the central...
