The innate human capacity for empathy and cooperation is a cornerstone of societal cohesion, fostering environments where...
Mental Health
A comprehensive new investigation has illuminated a significant correlation between prolonged exposure to atmospheric pollutants and an...
Parkinson’s disease, a persistent and progressive neurodegenerative disorder, impacts the lives of over a million individuals across...
The intricate tapestry of human communication, encompassing thousands of distinct languages spoken globally, presents a fascinating paradox...
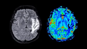
Novel Insights Link Common Bacterial Pathogen to Neurodegenerative Processes in Alzheimer’s Disease.
A prevalent bacterium, frequently implicated in respiratory ailments such as pneumonia and sinus infections, has been identified...
A groundbreaking scientific investigation has illuminated a key biological mechanism through which regular physical exertion serves as...
A recent investigation into the interplay between our senses challenges a deeply ingrained assumption: that silencing visual...
A monumental, decades-spanning analysis encompassing 54 randomized controlled trials has yielded substantial findings regarding the therapeutic efficacy...
Neural stem cells, often referred to as the brain’s own repair crew, are fundamental to neurogenesis –...
The popular notion that the human brain definitively completes its developmental journey by the age of 25,...
The intricate process by which the brain constructs its vast network of connections, a fundamental aspect of...
New scientific inquiry originating from the NYU School of Global Public Health indicates a potential nexus between...
