A groundbreaking series of experiments conducted at Johns Hopkins University has provided compelling evidence that a bonobo,...
John Travolta
The intricate journey of human evolution is indelibly marked by a persistent trend of increasing cranial capacity,...
A significant body of scientific inquiry has illuminated a more direct and potent connection between prevalent physiological...
A comprehensive investigation spearheaded by a consortium of esteemed research institutions, including the Nutrition and Metabolic Health...
A groundbreaking investigation has illuminated the potential of a specific protein to simultaneously address two complex health...
A significant advancement in our comprehension of cognitive processes suggests that the brain may not compartmentalize different...
A groundbreaking scientific revelation from a collaborative effort involving researchers at Sweden’s Karolinska Institutet and Japan’s RIKEN...
The ingrained notion of humanity possessing a mere five fundamental senses—sight, hearing, smell, taste, and touch—is increasingly...
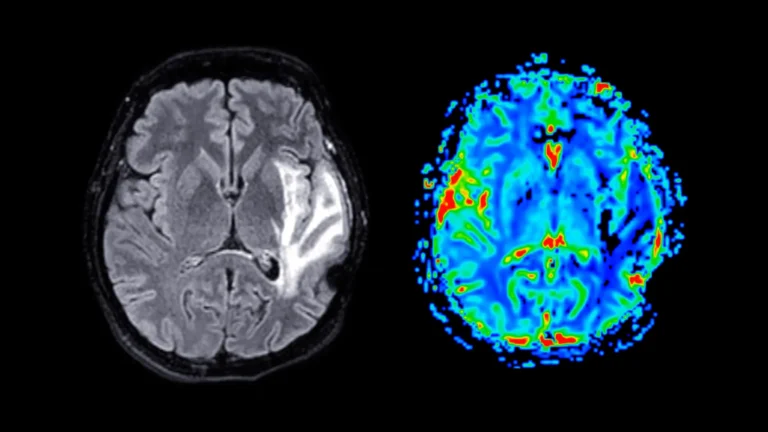
A groundbreaking artificial intelligence system developed at the University of Michigan is poised to revolutionize the interpretation...
A monumental meta-analysis, the most extensive of its kind, has definitively concluded that pharmacological interventions remain the...
A groundbreaking investigation, spearheaded by Professor Karim Jerbi of the Université de Montréal’s Department of Psychology and...
Alzheimer’s disease, a relentless neurodegenerative condition, is characterized by its profound impact on an individual’s ability to...
