The accelerating trajectory of artificial intelligence, coupled with escalating ethical considerations, has propelled the scientific quest to...
John Travolta
For decades, the prevailing scientific consensus posited that compulsive behaviors arise from an ingrained "habit loop," a...
A comprehensive analysis of dietary habits among a large cohort of women has revealed a significant correlation...
A significant and concerning divergence is emerging in the United States regarding the well-being of its middle-aged...
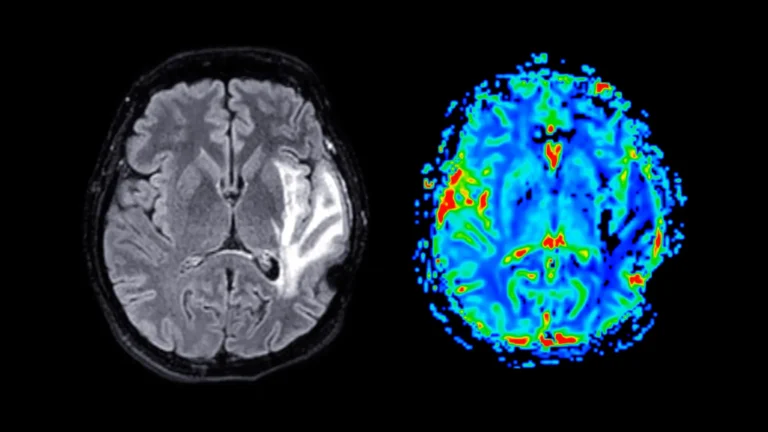
Recent scientific investigations have illuminated a potential mechanism underlying the pervasive memory deficits characteristic of Alzheimer’s disease,...
A comprehensive longitudinal study has uncovered a significant association between exhibiting traits of Attention Deficit Hyperactivity Disorder...
Parkinson’s disease, a progressive neurodegenerative condition affecting millions globally, is characterized by a complex constellation of symptoms...
The intricate pathways that govern voluntary motor control can be catastrophically disrupted by damage to the spinal...
A groundbreaking discovery emerging from a collaborative effort among esteemed Japanese research institutions has unveiled a potent...
The relentless pursuit of effective strategies to combat Alzheimer’s disease (AD), a neurodegenerative condition characterized by progressive...
Singapore, a nation celebrated for its impressive longevity, faces a growing challenge: a significant portion of its...
A comprehensive investigation spearheaded by the University of Cambridge has illuminated a significant association between the menopausal...
