A groundbreaking artificial intelligence system, developed by researchers at the University of Michigan, is demonstrating an unprecedented...
John Travolta
A groundbreaking, extensive meta-analysis of ADHD treatment efficacy has definitively established pharmacological interventions as the most consistently...
For a considerable period, the scientific community has largely operated under the assumption that compulsive behaviors stem...
Americans born during the 1960s and early 1970s are exhibiting a distinct pattern of midlife decline, reporting...
A comprehensive longitudinal investigation has unveiled a significant correlation between adherence to a dietary regimen characterized by...
A pervasive microscopic organism, frequently encountered yet largely unperceived, has demonstrated a remarkable capacity to subvert the...
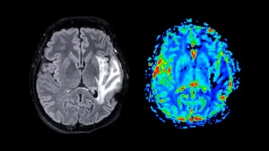
A significant breakthrough in Alzheimer’s disease research has emerged from Washington University School of Medicine in St....
Recent scientific investigations have illuminated a critical vulnerability in the cognitive architecture of Alzheimer’s disease, suggesting that...
A comprehensive synthesis of existing research indicates that incorporating regular physical activity, particularly aerobic forms like running,...
Unveiling the Somato-Cognitive Action Network: A Novel Frontier in Parkinson’s Disease Intervention.
Parkinson’s disease, a relentless neurodegenerative condition impacting over a million individuals in the United States and an...
A significant advancement in understanding the intricate molecular underpinnings of Alzheimer’s disease has been achieved by a...
A recent investigation spearheaded by researchers at Stanford University has illuminated crucial insights into the underlying cognitive...
