Scientists have unveiled a significant breakthrough in understanding and potentially treating a severe neurological disorder that triggers...
John Travolta
A comprehensive scientific endeavor has identified three readily available pharmaceutical agents, initially developed for unrelated medical conditions,...
For a significant portion of individuals grappling with the persistent burden of depression, conventional pharmacological interventions often...
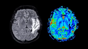
New investigations spearheaded by the Mark and Mary Stevens Neuroimaging and Informatics Institute (Stevens INI) at the...
A recent scientific investigation has unearthed compelling evidence suggesting that the consumption of tetrahydrocannabinol (THC), the primary...
For more than sixty years, metformin has stood as a cornerstone in the therapeutic arsenal against type...
For generations, the scientific endeavor to comprehend the human mind has largely proceeded by dissecting its constituent...
The scientific endeavor, meticulously detailed in the esteemed journal Cell, employed a sophisticated CRISPR-based genetic screening methodology...
The intricate process by which our minds forge coherent memories, linking specific pieces of information with the...
A groundbreaking advancement in bioelectronic engineering has yielded an implantable device so diminutive, it rivals the size...
A groundbreaking collaborative effort between researchers at Sweden’s Karolinska Institutet and Japan’s RIKEN Center for Brain Science...
For an extended period, the scientific consensus has posited that the perpetuation of compulsive behaviors stems from...
