The intricate dance of billions of neurons within the human brain is orchestrated by a complex symphony...
John Travolta
New research emerging from the University of Illinois Urbana-Champaign illuminates a profound connection between a couple’s deliberate...
Groundbreaking research originating from the University of Cambridge has illuminated profound connections between the genetic underpinnings of...
A groundbreaking investigation into a specialized sensory apparatus within ctenophores, commonly known as comb jellies, has unveiled...
The Pervasive Influence of Unconscious Automation on Daily Human Actions Revealed by Landmark Study.
A comprehensive investigation undertaken by a collaborative group of academics from the University of Surrey, the University...
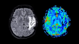
Groundbreaking research emanating from the Texas Children’s Duncan Neurological Research Institute (NRI) and Baylor College of Medicine...
A groundbreaking investigation, published on February 10th in the esteemed open-access journal PLOS Biology, has illuminated a...
A comprehensive investigation meticulously scrutinizing the health trajectories of nearly 28 million elderly Americans has illuminated a...
Parkinson’s disease, a chronic and progressive neurological affliction, impacts the lives of over a million individuals across...
The intricate tapestry of human language, with its vast vocabulary and complex grammatical structures, presents a paradox...
A groundbreaking study has illuminated a potential link between a prevalent bacterial species, commonly associated with respiratory...
A groundbreaking investigation spearheaded by researchers at the University of California, San Francisco (UCSF) has illuminated a...
